网购收到这东西,千万要当心!会爆炸、会“放毒”
来源: 科普中国 发布时间:2025-09-11
干冰,生活中非常常见的一种保鲜材料。
网上买了生鲜,卖家会在里面放上好多干冰防止食物变质,有些餐饮店在上菜、做鸡尾酒时,为了营造“仙气飘飘”的效果,也会使用干冰……
但你知道吗,干冰如果储存、使用不当,其实超级危险!!!
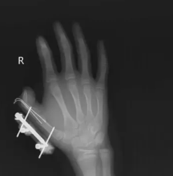
前段时间,湖南的一名 14 岁的小孩在爸爸网购冰激凌的箱子里发现了用于冷藏的干冰,以为是玩具,便捏在手里反复摇晃。结果密封袋里的干冰突然爆炸,小朋友的右手瞬间鲜血直流,拇指虎口处被撕开一道约 10 厘米的伤口,拇指骨折。

图片来源于网络
类似的事情还有不少:
贵州的一个网友把买鲜货的剩余干冰放入矿泉水瓶后存储进冰箱,想着之后还能用,结果干冰在冰箱里突然爆炸,单侧冰箱门整个炸开,冰箱内的物品也因爆炸四散一地。

图片来源于网络
这种看似人畜无害的“小冰块”,为什么会造成如此大的伤害?
干冰不是冰!
-78.5°C 的“隐形杀手”
别看干冰名字里有个“冰”字,但它跟我们平常用水冻成的“冰”,可完全不一样~
干冰是二氧化碳(CO₂)的固态形式,在常温常压下不会融化成液体,而是直接升华为气体,因此也被称为“固态二氧化碳”。
干冰的温度低至 -78.5°C,远低于普通的冰(0°C),是一种强力低温冷却剂。想想看,如果把手伸进 -78.5°C的“冰”里会怎样?
几秒钟,仅仅几秒钟,你的皮肤就会被“冷烧伤”。血管收缩、细胞结冰、组织坏死——比开水烫伤还要狠!

消防人员用猪肉模拟人体皮肤徒手接触干冰的后果。图片来源于网络
威力惊人的
“不定时炸弹”
此外,干冰还有个“特异功能”:能直接从固体变成气体,不经过液态阶段。
这一特性在实际场景中用起来确实很方便,比如因为不会留下任何液体残渍,非常适合在冷链运输、食品冷藏;干冰颗粒可以用作无水无残留的喷射介质,能有效清除油污、油漆等,还不会损伤物体表面;医学上,它还被用于皮肤科冷冻治疗以及器官运输过程中的温控保存……
但问题在于,它在常温下会迅速升华,一块标准的 1 千克干冰会在约 24 小时内会完全升华,直接升华成气体意味着体积会瞬间膨胀 800 至 1000 倍,如果把它放在密封容器里(比如塑料瓶、保温盒),结果就是——啪!压力飙升,直接爆炸!

图片来源:广州消防
可能有人会想问,干冰放在常温环境下有爆炸风险,为什么放到冰箱的冷冻层也不行呢?
这是因为,冰箱的冷冻层温度一般在 -15℃ 到 -25℃ 之间,对于干冰来说,还是“太热了”。
无声无息的
“夺命毒气”
这是干冰最隐蔽,也最致命的“杀招”。
干冰升华产生的二氧化碳,无色无味,比空气重,会“流”到低处聚集。当空气中的二氧化碳浓度超过 8% 时,人就会像被“夺走空气”的鱼,在几分钟内失去意识,昏迷倒下;一旦浓度达到 20% 以上,死亡往往在短短几分钟内就会发生,等你还没反应过来就已经命丧黄泉。没有刺鼻气味,没有明显征兆,你只会感觉有点困,然后昏迷,再然后......
国外就曾有这样的案例报道:
2025 年 7 月 4 日,美国德克萨斯州一对夫妇在家中准备派对时将干冰存放在地下酒窖中,结果干冰升华成二氧化碳,密闭空间瞬间变成“毒气室”,两人进入酒窖时迅速昏迷,再也没能出来。消防队员到场时闻到的化学味过于浓烈,被迫退出现场,佩戴呼吸器后才再次进入酒窖。
如何正确使用干冰
虽然干冰的风险不少,但是它也确实是生活中非常实用的制冷剂,大家也不用在看完这么多案例后对干冰过于紧张,只需要注意平常要正确使用干冰就可以~
1
佩戴防护装备,避免冻伤
如果买的东西里放了干冰作为保鲜材料,在处理时,一定要戴上厚实的隔热手套,避免干冰接触皮肤,同时需要注意避免干冰碎片飞溅,伤到眼睛和面部。
特别特别需要注意的是,如果家里有小朋友,一定要告诉他们千万不能把干冰放到嘴里,干冰在嘴里会迅速升华,吸收大量热量,对口腔和呼吸道造成严重伤害,极其危险。
2
避免密封存储,防止爆炸
有些朋友看着快递附赠的一袋袋干冰,可能会想着能不能“废物利用”,先放到冰箱里,等下次自己要保鲜什么东西的时候拿出来用,此处划重点,千万别!
不要将干冰放到密闭的冰箱里,不应直接接触冰箱玻璃搁板,以防冻裂;使用干冰时要在通风良好的环境中操作,严禁在车内、地下室等密闭场所中大量使用。
残余干冰的正确处理方式应该是:放置于通风良好的开阔区域,让其自然升华,不要丢进马桶、下水道或垃圾。
如果不慎出现了因为干冰导致的受伤,可以采用下面这些应急救处理:
**皮肤冻伤:**立即停止接触干冰,用37℃-39℃的温水(非热水)缓慢复温冻伤部位,切勿揉搓受伤皮肤,以免进一步损伤组织。
**误食干冰:**立即停止进食,千万不要催吐,干冰在体内升华会造成内脏破裂。
**大量干冰升华导致的二氧化碳中毒:**立即将伤者转移至空气流通的环境中,同时松解衣物并保持平卧,必要时进行人工呼吸或心肺复苏(CPR)。
需要注意的是,以上都是应急处理,所有干冰相关伤害,最重要的是第一时间拨打急救电话,避免延误治疗。
参考文献
[1]Diners in India vomit, cough up blood after allegedly being served dry ice. (2024, March 11). news.com.au. https://www.news.com.au/lifestyle/real-life/news-life/diners-in-india-vomit-cough-up-blood-after-allegedly-being-served-dry-ice/news-story/6b3644ffd377cbfbd3d585ea5cffd29e?utm_source=chatgpt.com
[2]EH&S. (2020). WORK SAFELY WITH DRY ICE. In www.ehs.washington.edu. https://www.ehs.washington.edu/system/files/resources/dryice.pdf
[3]Holaday, C. (2025, July 7). Couple found dead in their own wine cellar after deadly mishap while they prepared to host July 4 party. . . The US Sun. https://www.the-sun.com/news/14648797/carbon-dioxide-dry-ice-death-couple-houston-cellar/
[4]Public Health Foundation. (2021). Working with Dry Ice [Safety Guidelines]. https://www.cdc.gov/vaccines/covid-19/info-by-product/pfizer/downloads/dry-ice-safety-hcp.pdf
[5]The Editors of Encyclopaedia Britannica. (2025, August 7). Carbon dioxide | Definition, Formula, Uses, & Facts. Encyclopedia Britannica. https://www.britannica.com/science/carbon-dioxide
[6]What is Dry Ice? (n.d.). Department of Health, New York State. https://www.health.ny.gov/publications/7081/
[7] Compressed Gas Association. (1990). Overview of acute health effects. In Appendix B. https://www.epa.gov/sites/default/files/2015-06/documents/co2appendixb.pdf
[8] Permentier, K., Vercammen, S., Soetaert, S., & Schellemans, C. (2017). Carbon dioxide poisoning: a literature review of an often forgotten cause of intoxication in the emergency department. International Journal of Emergency Medicine, 10(1). https://doi.org/10.1186/s12245-017-0142-y
[9] Dry ice: carbon dioxide poisoning is possible. (2020). BfR Opinion, No. 047/2020. https://doi.org/10.17590/20201105-124936
策划制作
作者丨八云 科普创作者
审核|孙明轩 上海工程技术大学教授、中国科普作家协会会员
苏晓清 河北医科大学第三医院急诊科副主任医师、中国心肺复苏培训专家委员会河北省心肺复苏培训专家委员会常务委员
策划丨杨雅萍
责编丨杨雅萍
审校|徐来 张林林
来源丨科普中国微信公众号
版权与免责声明
【1】本网站凡注明“学会秘书处”的所有作品,版权均属于四川省金属学会所有,未经书面授权,任何媒体、网站或个人不得转载、摘编或利用其它方式使用上述作品。已经本网站协议授权的媒体或网站,应在授权范围内使用上述作品,并注明“来源:四川省金属学会”。违者本网站将追究其相关法律责任。
【2】本网站凡注明“来源:XXX(非学会秘书处)”的作品,均转载自其它媒体,登载此作品出于传递更多信息之目的,不代表学会观点或证实其描述,不对其真实性负责。作品内容仅供参考,如转载稿件涉及版权等问题,请在两周内来电或来函与四川省金属学会联系。
